12طريقة لزيادة حرق الدهون بواسطة الشاي الأخضر
أهم أعراض وجود أكياس على الكبد
لهذه الأسباب ينبغي خلع الأحذية قبل دخول البيت
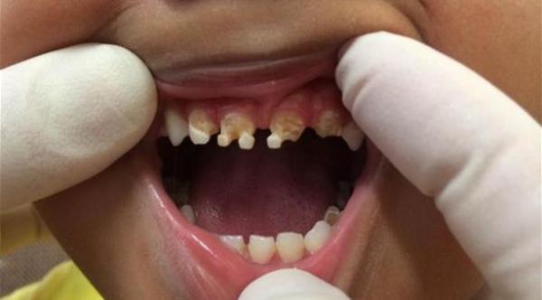
هذا ما يحدث لأسنان الأطفال المدمنين على المشروبات الغازية
دراسة: النساء يعيشن عمرًا أطول بصحة أفضل من الرجال
مهنة النادل هي الأكثر خطورة على صحة الإنسان
أهم مشاكل التبول لدى الأطفال
8 أخطاء صحية لا تقع فيها بعد الـ 40
متى تصبح اضطرابات النوم بنفس خطورة التدخين؟
إهمال علاج الصداع العنقودي والرعدي قد يؤدي إلى الموت
ظاهرة مقاومة المضادات الحيوية تهدد المستشفيات الأمريكية
الإفراط في استخدام وسائل منع الحمل قد يسبب الجلطات
مبغيتوش لينا الخير.. عبارة مثيرة خلال تداريب الأسود تطرح تساؤلات عديدة.. من المقصود بها؟
فضحه الله.. مراسل قناة جزائري نسي البث المباشر مفتوحا وشرع في تحريض مشجعي بلده على الكذب وافتعال أزمة
مدرب جنوب أفريقيا: "لا نشعر بأجواء كأس أفريقيا في المغرب والتنظيم ليس في المستوى"
الشاب خالد وزوجته يرفعان الرايتين المغربية والجزائرية بمدرجات ملعب مولاي الحسن
انهيار غير مسبوق في أسعار زيت الزيتون بالمغرب بعد موسمين من الغلاء