بالفيديو.. "مزحة مخيفة" تحول صديقتين إلى عدوتين للأبد
أمريكي يقتل زوجته وطفلتيه ويبلغ الشرطة عن فقدانهن! (فيديو)
مظاهرات بالملابس الداخلية في شوارع العاصمة الفنزويلية
مطعم ممنوع على الأطفال لكنه مفتوح للكلاب طيلة اليوم
رفض المصافحة يحرم زوجين مسلمين من الجنسية السويسرية
لحظة سرقة ساعة قيمتها 40 ألف يورو من معصم سائح بإسبانيا (فيديو)
ماكينة يابانية تبيع البيتزا في 5 دقائق فقط (فيديو)
شاهد.. مطاردة غريبة بين الشرطة وخروف في شوارع مدينة بريطانية
كلب وفي يرفض ترك صديقته بعد فقدانها الوعي (فيديو)
هكذا أنصفت محكمة سويدية فتاة مسلمة رفضت مصافحة مشغلها !
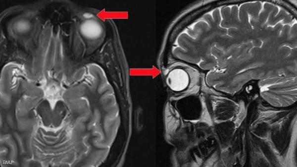
عاشت 30 عاما بشيء غير مريح في عينها.. ثم جاءت "الصدمة"
بعد "كيكي" و"زووم".. تحدي السقوط الروسي يجتاح الإنترنت
هزتان أرضيتان في ساعات قليلة بالمغرب .. توضيحات المعهد الوطني للجيوفيزياء
الكاف يدخل على خط فيديوهات توزيع تذاكر لجماهير الجزائر
في مشهد مؤثر.. مؤذن المسجد النبوي يفارق الحياة وهو يردد الآذان (فيديو)
التشكيلة الرسمية المرتقبة للفريق الوطني أمام مالي
بعد 25 عاماً.. انفصال لميس الحديدي وعمرو أديب بسبب زواج ثانٍ