للرجال فقط: النوم الطويل خطر على صحتكم!
أنواع الأنظمة الغذائية.. من "الباليو" إلى "المسحوق"
5 أشياء غير متوقعة تدمر صحة شعرك
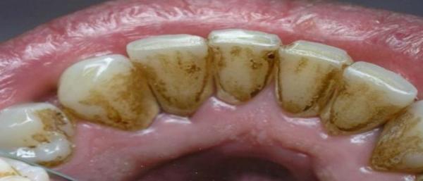
طريقة فعالة و سهلة لإزالة الرواسب البيكتيرية من باطن أسنان الفم
دراسة: التاريخ العائلي مؤشر لأمراض القلب لدى المصابين بالصدفية
تساقط الشعر وتقصف الأظافر من علامات نقص الحديد
حبوب القهوة الخضراء وسيلة فعّالة للتخسيس
خلطة طبيعية للحصول على أسنان بيضاء كالثلج
"أسوأ أطعمة" يمكن تناولها قبل النوم
دراسة تنصح مرضى السكري بضروة الرأفة بأنفسهم
10 فوائد غير متوقعة لتناول الماء الدافىء مع الليمون
5 فوائد صحية مدهشة لأكل اللفت
انهيار غير مسبوق في أسعار زيت الزيتون بالمغرب بعد موسمين من الغلاء
الركراكي يمتص غضب الجمهور المغربي باعتذار ووعد بإبقاء اللقب في الرباط
هذه هي الجماعات التي سيستفيد سكانها من حملة التحفيظ العقاري الجماعي المجاني للأراضي (وثائق)
أعلاها في القنيطرة.. مقاييس التساقطات المطرية المسجلة بالمملكة خلال الـ 24 ساعة الماضية
بعد الأداء الكارثي.. الركراكي يستنجد بحكيمي كأساسي ويدخل تغييرات هامة على تشكيلة المنتخب