ما الذي يجمع أصحاب العيون الرزق معا؟
وصفات منزلية "غير مألوفة" مفيدة لعلاج الإمساك
6 طرق لزيادة التفكير الإيجابي وتخفيف الضغوط
مرتدو أساور اللياقة البدنية لا يشعرون بمتعة الرياضة
ماذا تأكل الحامل لمواجهة الغثيان والتقيؤ؟
حقيقة .. أفلام الرعب "تجمد" الدم في العروق
عصير الأناناس أفضل من شراب السعال
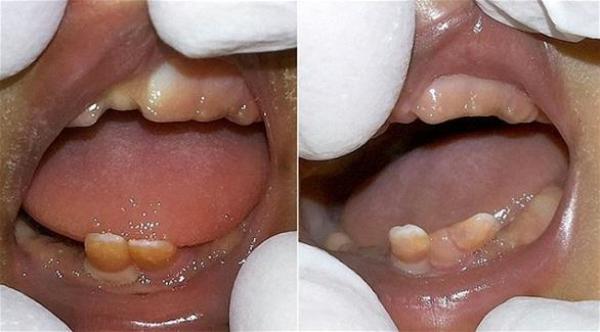
طفلتان توأم تولدان ولكل منهما سنان في الفم
4 أسباب وراء الشعور بالإرهاق عند الاستيقاظ
احذري هذه التصرفات تصيب ابنك بتأخر في الكلام
زيادة استهلاك الماريغوانا في ألمانيا لعلاج الآلام
القيم الغذائية في صلصة الطحينة
انهيار غير مسبوق في أسعار زيت الزيتون بالمغرب بعد موسمين من الغلاء
هذه هي الجماعات التي سيستفيد سكانها من حملة التحفيظ العقاري الجماعي المجاني للأراضي (وثائق)
مدرب جنوب أفريقيا: "لا نشعر بأجواء كأس أفريقيا في المغرب والتنظيم ليس في المستوى"
الركراكي يمتص غضب الجمهور المغربي باعتذار ووعد بإبقاء اللقب في الرباط
بعد الأداء الكارثي.. الركراكي يستنجد بحكيمي كأساسي ويدخل تغييرات هامة على تشكيلة المنتخب