أخبارنا المغربية
وبحسب صحيفة دايلي ميل البريطانية، كان الرجل يعاني من اضطرابات هضمية بسبب حالة من رد فعل التحسسي لمادة الغلوتين، وهو بروتين موجود في القمح والشعير.
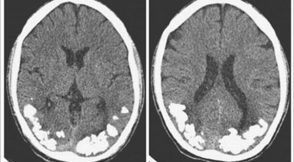
وكان يعتقد أنه مصاب بالصداع النصفي، ويتناول مسكنات الصداع دون أن تظهر أي علامات على التحسن، لكن صورة الأشعة أظهرت تراكم حجارة صغيرة من الكلس في الجزء الخلفي من دماغه، وهي المنطقة المسؤولة عن الرؤية.
ويقول الأطباء في جامعة ساو باولو، إنه ليس من الواضح بعد كيف تسبب مرض الاضطرابات الهضمية في تراكم الحجارة الكلسية في الدماغ، لكنهم أشاروا إلى أن عدم القدرة على امتصاص الحديد ربما يكون هو السبب.
