الركراكي يؤكد: أمرابط عنصر أساسي ونحتاجه في قادم المباريات

الركراكي: المغربي ممكن يتقلق عليك فالصباح، ولكن فالليل يوقف معاك ويعرض عليك

رغم الفوز أمام زامبيا.. لاعبو المنتخب المغربي يرفضون تقديم التصريحات للمنابر الإعلامية

بنصغير يتحدث عن لحظة عناق اللاعبين للركراكي بعد تسجيل الهدف الثاني

الركراكي: الجمهور هو لي ربحنا اليوم ..ودبا بطولة جديدة غتبدا فحال كأس العرش

أول ظهور لحكيمي في كأس إفريقيا بعد العودة من الإصابة

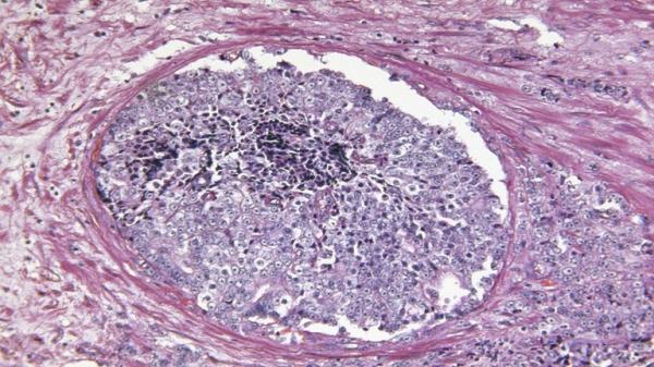
عقار"معجزة" يحمل الأمل لآلاف المصابين بسرطان "لا شفاء منه"!

عقار"معجزة" يحمل الأمل لآلاف المصابين بسرطان "لا شفاء منه"!

أخبارنا المغربية

يمكن لعقار جديد لسرطان البروستاتا أن يوفر الأمل لآلاف الرجال المصابين بنوع غير قابل للشفاء من المرض، بعد نجاح التجربة السريرية.

 

وحقق عقار Lynparza هدفه النهائي المتمثل في إطالة حياة الرجال المصابين بالسرطان، كما يقول المطورون إنه العلاج الوحيد الذي عمل في مجال "الحاجة الماسة إلى علاجات فعالة جديدة".

 

ويعمل Lynparza من خلال تدمير الحمض النووي التالف للخلايا السرطانية وقتلها، وتمت الموافقة عليه بالفعل في جميع أنحاء العالم لعلاج سرطان المبيض.

 

وكشفت شركة AstraZeneca، التي تتخذ من كامبريدج مقرا لها، أن تجربتها تسير على ما يرام، وقالت إنها ستقدم نتائج كاملة في المستقبل القريب.

 

وقورن Lynparza مع اثنين من الأدوية التي تحجب هرمون التستوستيرون: abiraterone وenzalutamide، التي تعمل عن طريق خفض "هرمون الذكورة".

 

ويعمل العقار بشكل مختلف عن طريق استهداف الحمض النووي التالف لقتل الأورام، وهو مخصص للمرضى الذي استمرت سرطاناتهم في النمو والانتشار، حتى عندما تقل مستويات التستوستيرون طبيا. وتسمى الحالة هذه سرطان البروستاتا النقيلي (Mcrpc)، الذي لا يستجيب للعلاجات الأخرى ويعد قاتلا خطيرا.

 

وتقوم شركة AstraZeneca بإدارة التجربة المسماة PROfound، بالتعاون مع شركة الأدوية الأمريكية MSD، المعروفة في الولايات المتحدة باسم Merck.

 

وتتطلع الشركة إلى مناقشة النتائج مع السلطات الصحية العالمية قريبا.

عن روسيا اليوم


هل ترغب بالتعليق على الموضوع؟

*
*
*
ملحوظة
  • التعليقات المنشورة لا تعبر بالضرورة عن رأي الموقع
  • من شروط النشر: عدم الإساءة للكاتب أو للأشخاص أو للمقدسات