أخبارنا المغربية
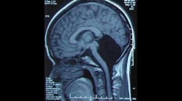
دفعت أعراض الارهاق والدوخة والغثيان شابة من ولا ية شانونغ الصينية(24 عاماً)، إلى زيارة الطبيب المختص، لعمل الأشعة والفحوصات اللازمة ومعرفة أسباب ذلك، والتي كشفت عن وجود نقص في أحد أجزاء الدماغ جعلتها غير قادة على تعلم النطق والكلام حتى الخامسة من عمرها، بالإضافة لعجزها عن المشي حتى السابعة من العمر، بحسب ما ذكر موقع دايلي ميل البريطاني.
وأكد الاطباء أن ذلك النقص في نصف وظائف الدماغ، نجم عنه عجز الشابة عن الأنشطة الحركية كالمشي واللعب والقفز وغيرها، ولاحظ الأطباء وجود سائل نخاعي خاص في الجزء المفقود من الدماغ، وهو ما ساعدها في بقاء الفتاة على قيد الحياة حتى اللحظة الراهنة وممارسة حياتها دون خطر يُذكر، إذ أنها تعتبر الحالة المرضية التاسعة على مستوى العالم التي تعاني من هذا المرض النادر.
وأتاحت تلك الحالة المرضية النادرة، المجال أمام الأطباء للتعاون مع فريق الأبحاث العلمية في جامعة بروكسل البلجيكية، لمعرفة كيف تتناغم أجزاء الدماغ الأخرى والقشرة الدماغية لتحل محل العجز الناتج عن غياب إحدى أهم مناطق الدماغ والخلل الوظيفي الناتج عنها، خاصة بعد أن تزوجت تلك الشابة الصينية وأنجبت أطفالاً أصحاء ولا يعانون من أي مشاكل عصبية.
