أخبارنا المغربية
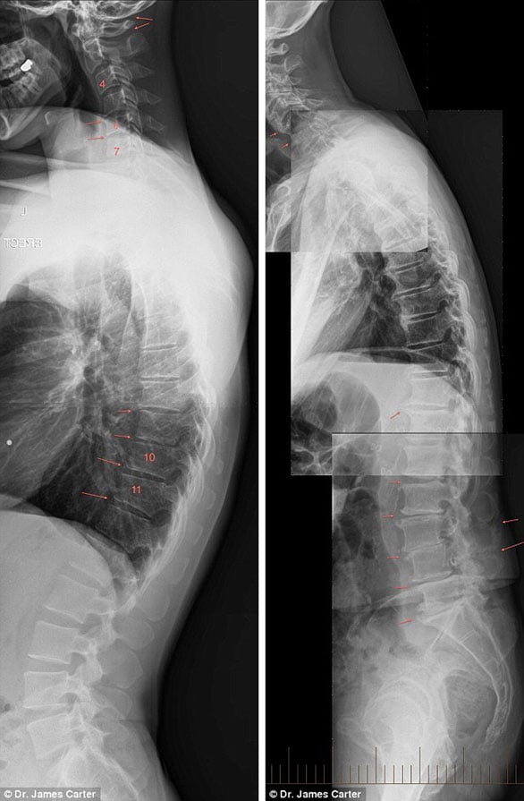
وحذر جيمس كارتر وهو اختصاصي أسترالي في علاج أمراض الجهاز العصبي في العمود الفقري، من خطورة ما يعرف بالرقبة النصية "Text Neck" أو متلازمة النص العنقي، وهو داء عصر التكنولوجيا الحديث، يصيب الأشخاص الذين يقضون ساعات طويلة وهم محنيو الرؤوس أثناء استخدام الهواتف الذكية والأجهزة اللوحية.

وأوضح الطبيب جيمس ازدياد حالات الإصابة بآلام مزمنة في الرقبة والعمود الفقري خلال الأعوام القليلة الماضية، مشيراً إلى أن 50% منها تقع بين المراهقين وطلاب المدارس، أي بعد انتشار الأجهزة الذكية.
وأرفق الطبيب تحذيراته بمجموعة من صور الأشعة السينية لبعض الحالات المصابة بمرض التنكسية في العمود الفقري نتيجة استعمال الهاتف الذكي لفترة طويلة، توضح تشوهات وآلام في الرأس والرقبة والكتف والظهر.

وبينت تقارير سابقة أن المستخدمين يقضون في المتوسط 4 ساعات يومياً يحدقون في أجهزتهم، لتكون النتيجة النهائية 1400 ساعة في العام، ما يسبب إصابتهم بالتوتر والاكتئاب وانحناء في العمود الفقري وفقرات الرقبة.


